aggressiv lesion kan orsaka käken att svälla, och lossa tänderna
NANCY W. BURKHART
den centrala jättecell granulom (CGCG) anses vara en godartad, nonneoplastic lesion av ben som finns i en yngre åldersgrupp som vanligtvis är mindre än 30 år. Den mer aggressiva typen kan orsaka rotdivergens och förstörelse av det omgivande benet som expanderar den kortikala plattan.
vanligtvis upptäckt genom en röntgenbild som visar en radiolucent lesion av underkäken eller maxilla, står CGCG för färre än 7% av alla godartade tumörer i käftarna-med en prevalens för underkäken med en hastighet på 65 till 75% och påverkar kvinnor oftare än män. Tillväxten är en intraosseös lesion bestående av cellulär fibrös vävnad (fibroblaster) som innehåller multinukleära jätteceller. CGCG växer mycket långsamt. Men när den ses i en mer aggressiv form uppvisar den snabb tillväxt, svullnad, lossning av tänderna, förskjutning av tänderna och det tränger in i kortikalbenet (se Figur 1).
etiologi: vid en tidpunkt var dessa lesioner kända som ”jättecellreparativa granulom” eftersom man trodde att det fanns en reparativ komponent till tillväxten. Den sanna etiologin är dock okänd och fortfarande kontroversiell. Bevisen är inte tillgängliga för att klassificera lesionerna som reparativa. CGCG anses av många vara reaktivt, men det klassificeras som en godartad, nonneoplastisk lesion.
Figur 1

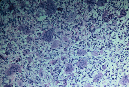
Figur 2

foton källa: DeLong L, Burkhart NW. Allmän och Oral patologi för tandhygienisten. 2013; Wolters Kluwer Hälsa / Lippincott Williams & Wilkins.
det diskuteras också om de mest aggressiva typerna kan falla i en neoplasmkategori. En annan ny förklaring av Venkateshwarlu et al. (2010) säger att kvinnlig förkärlek (2:1-förhållande) till denna typ av lesion eventuellt kan förklaras med normal hormonell utsöndring. En annan observation är att hos små barn utvecklas kraniofacialskelettet aktivt för att inkludera osteogenes, exfoliering och utbrott av tänder. Eftersom dessa processer upphör i vuxen ålder, säger Venkateshwarlu att yngre individer kan vara mer predisponerade för denna typ av lesion.
epidemiologi: de flesta CGCG som finns i oral vävnad och ben är icke-aggressiva och mycket långsamt växande, vanligtvis påverkar den främre underkäken och maxilla. Lesionerna är kända för att förekomma hos barn och unga vuxna med en kvinnlig förkärlek. Cirka 30% befinns vara i ett mer aggressivt tillstånd och uppvisar snabb tillväxt.
radiografiska egenskaper: CGCG ses som en multilokulär lesion eller, i sällsynta fall, en unilokulär lesion som har väldefinierade marginaler. Gränserna kan ha ett skulpterat utseende. Den mer aggressiva formen kan skildra inte bara rotresorption utan också perforering av kortikalt ben.
Perioral och intraoral egenskaper: CGCG är vanligtvis smärtfri om inte storleken och expansionen av lesionen blir överdriven. Finns främst anterior till den första molära, radiografiska framträdanden kan noteras på grund av divergensen och expanderande marginaler av en radiolucent lesion. Förlust av lamina dura kan vara en tidig indikation. Smärta tillsammans med ett noterat kliniskt utseende ses vanligtvis när lesionen tränger igenom och sticker ut genom det kortikala benet, men rapporteras inte initialt. CGCG kan då noteras som en mjukvävnad, plattbaserad nodul med en blå-till-lila färg när detta utvecklingsstadium erhålls.
särskiljande egenskaper: CGCG är vanligtvis långsamt växande, icke-aggressiv och asymptomatisk. I vissa fall kan det dock vara mer aggressivt med benförstöring, tandförskjutning och smärta. Expansionen av ben är verkligen en nyckelfunktion med denna lesion. Lesionen uppträder vanligtvis i underkäken och främre mot de första molarna.
signifikanta mikroskopiska egenskaper: CGCG är känd för de många multinucleated jätteceller som finns i vävnadsprovet. De multinukleära jättecellerna ligger inom ett hav av spindelformade mesenkymceller och finns i blödningsområden.
jättecellerna kan variera i storlek och antal med spridd placering, eller de kan koncentreras inom olika områden av provet. Nybildat ben kan också vara närvarande i provet. Den mer aggressiva typen av CGCG kan inte särskiljas från den icke-aggressiva typen genom mikroskopisk undersökning (se Figur 2).
dentala konsekvenser: aggressiva skador kan uppstå, och CGCG kan också återkomma, även när de tas bort noggrant från början. Den bruna tumören finns hos patienter som har hyperparathyroidism och har ett liknande utseende men försvinner när hyperparathyroidism är under kontroll. Kirurgi indikeras inte när en brun tumör diagnostiseras. I de mer aggressiva formerna av CGCG kan dramatisk käftsvullnad uppstå och det kan vara lossning av tänderna i lesionsområdet.
möjlig differentialdiagnos:
hyperparatyreoidism (brun tumör)
Kerubism
Jättecelltumörer som involverar Pagets sjukdom
aneurysmala bencyster
Ameloblastom
odontogen keratocyst
behandling och prognos: prognosen är bra när fullständigt avlägsnande erhålls, och excision genom curettage med avlägsnande av perifera benmarginaler är optimal. Tidig intervention och behandling kommer att ge ett bättre resultat för patienten.
en återkommande frekvens på 15-20% noteras. De mer aggressiva skadorna tenderar att ha en högre återfallsfrekvens. De som förekommer hos barn kan också ha en högre förekomst och kan ha ett mindre gynnsamt resultat med de mer aggressiva typerna av lesioner.
i de aggressiva formerna, senaste rapporterna (Tarsitano et al. 2015) av användningen av kirurgisk enukleation med subkutan injektion av Interferon-alfa-2a visade sig vara framgångsrik i uppföljningsstudier utan återfall efter åtta år. Behandling med immunmodulerande läkemedel och kalcitonin är ibland effektiva beroende på typen av CGCG.
som alltid, fortsätt att ställa bra frågor och fortsätt att lyssna på dina patienter. RDH
CGCG ur ett oralt medicinperspektiv
• noggrann uppföljning av patienten rekommenderas på grund av tendensen för CGCG att återkomma. Detta är särskilt relevant i de mer aggressiva formerna.
• patienter tenderar att flytta till olika delar av världen, och kontinuiteten i vården saknas ofta i samhället idag på grund av övergående livsstilar.
1. Krishnappa s, Srinath S, Gopinath P, Krishnappa VS. Centralt jättecellgranulom i ett 4-årigt kvinnligt barn. J Indiska Soc Pedod Föregående Buckla 2015; 33: 337-40. Regezi JA, Sciubba JJ, Jordan RCK. Oral Patologi: Kliniska Patologiska Korrelationer. 2003 4: e upplagan, Saunders, St. Louis, Missouri.
2. Tarsitano a, Del Corso G, Pizzigallo A, Marchetti C. aggressivt centralt jättecellgranulom i underkäken behandlat med konservativ kirurgisk enukleation och Interferon-a-2A: fullständig remission med långvarig uppföljning. J Oral Maxillofac Surg. 2015 Maj 7.Pii: So278-2391 (15) 00488-7.Doi 10.1016 / j. joms.2015.04.029.
3. Venkateshwarlu M, Geetha P, Radhika B. Central jättecell granulom. IJDA, 2010; 2(1); 134-137.
NANCY W. BURKHART, BSDH, EdD, är adjungerad docent vid Institutionen för periodontik/ stomatologi, Baylor College of Dentistry och Texas A & M Health Science Center, Dallas. Dr. Burkhart är grundare och cohost av International Oral Lichen Planus Support Group (http://bcd.tamhsc.edu/olp/) och medförfattare av allmän och Oral patologi för tandhygienisten. Hon var en 2006 Crest / ADHA award vinnare. Hon är en 2012 Mentor av distinktion genom Philips Oral Healthcare och PennWell Corp. Hennes hemsida för seminarier om mukosala sjukdomar, oral cancer, och oral patologi ämnen är www.nancywburkhart.com. hon kan kontaktas på [email protected].